IRE of an HCC recurrence in segment V under intra-arterial CT guidance
A 69 years old patient diagnosed with an HCC and treated previously by a left lobectomy in 2020, underwent combined TACE and IRE after a first recurrence near the hepatic hilum. Two years later, a local recurrence at the same site was retreated with IRE under angio-CT guidance (intra-arterial contrast) using the CAS-One IR system. AblaSure confirmed complete tumor coverage and 98% margin attainment. The procedure was rapid, uneventful, and efficient.
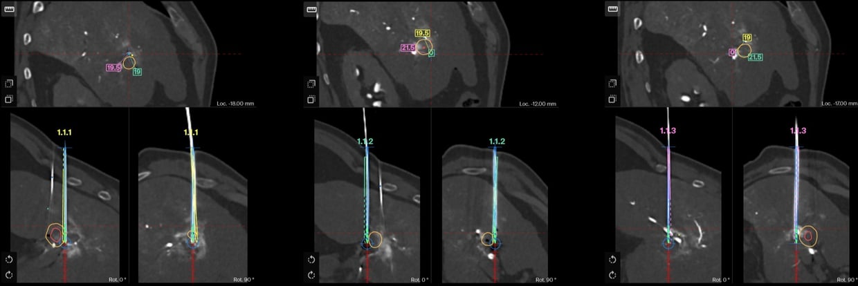
Planning scan showing the lesion and the SmartMargin tool defining the target margins while excluding the hepatic artery.

AblaSure showing a complete treatment of the tumor and margins (100% lesion, 98% margin)
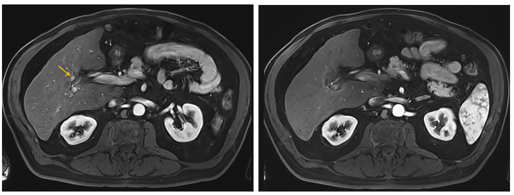
MRI Follow-up at 8 weeks showing complete treatment
Name: Dr. Olivier CHEVALLIER
Institution: Centre Hospitalier Universitaire de Dijon, France
Patient age and sex: Male, 69 years-old
- Diagnosed in 2020 with a moderately differentiated HCC with cirrhosis, treated by a left lobectomy.
- In June 2023, a local recurrence in segment V near the hepatic hilum was treated with a combined conventional TACE (Lipiodol® + Idarubicine) + IRE.
- A complete response was achieved until a new local recurrence occurred at the previously treated site in April 2025
- In May 2025, the MDT recommended repeat ablation with IRE for the recurrence located at the antero-inferior margin of the previous ablation zone.
- Intervention was performed end of June 2025 under general anesthesia and in the Nexaris® Angio-CT room (Siemens Healthineers)
- Through femoral access, a catheter was placed in the right hepatic artery to enable intra-arterial contrast enhancement of the lesion. Repeat acquisitions with minimal contrast injection allowed precise tumor targeting and ablation monitoring
- The lesion was treated with 3 IRE probes using the NanoKnife® system (Angiodynamics). A second application was performed after probe pull-back adjustment to ensure complete margin coverage.
- The lesion near the hepatic hilum was accurately segmented after intra-arterial contrast injection using the SmartMargin tool.
- AblaSure® analysis demonstrated what appeared to be complete coverage of the lesion and 98% coverage of the margin.
- The patient was discharged the following day without complications
- Follow-up imaging confirmed full coverage of the treated lesion, with the appearance of a new LI-RADS 3 lesion currently under surveillance.
- CAS-One® IR and its tools are applicable for any kind of treatment no matter the injection modality.
- Dr. Chevallier said: “ Being more accustomed to placing IRE probes under ultrasound and CT guidance, I was pleasantly surprised by the speed and accuracy of probe placement using the CAS-One IR system, which required only minimal manual adjustment before ablation. The software also performed very well with intra-arterial contrast–enhanced angio-CT images.”